歯を守る治療
歯を守る治療
「なるべく歯を削らない治療」を心がけます

宮原おとなこども歯科・矯正歯科では、御自身の歯を守るために、「なるべく歯を削らない治療」を心がけています。
「歯を削らないこと」は、「歯をできるだけ残す」ことにも繋がっていきます。
宮原おとなこども歯科・矯正歯科では、
御自身の歯を守るために、
「なるべく歯を削らない治療」を心がけています。
「歯を削らないこと」は、
「歯をできるだけ残す」ことにも繋がっていきます。
ミニマルインターベンション(Minimal Intervention)の頭文字です。
2002年の国際歯科連盟のFDI宣言で世界中に発表された虫歯治療の新しい概念で、
日本語に訳すと、最小の侵襲という文字通り、「できるだけ歯を削らない・神経を取らない治療」を行い、歯への侵襲を最小限に留める治療を指します。
口腔内が汚れた状態にあっては、いくら削らない治療を行っても、また虫歯になってしまいます。口腔内の状態が綺麗な状態に変わっていること・歯周病菌がきちんとコントロールされている状態であることが、MI治療を成功に導く大切な要因です。
歯科医院でいくら口腔内を綺麗にして貰っても、日々の患者様のブラッシングが出来ていなければ、口腔内を綺麗な状態に保つことは出来ません。また、お口の中が改善された状態を維持できているのか、歯科医院で定期的にチェックしてもらうことが必須です。
歯の最表層に位置したエナメル質に限局した虫歯の場合は、むやみに削ることは行わず、口腔内の細菌叢を改善できていれば、再石灰化を期待する事が出来ます。
そのために、定期的に歯科医院で「フッ素塗布」を行い、再石灰化を促す環境を作っていくことが必要です。
歯を1本でも残すことに注力すれば、自ずと口腔内の環境は変わり、また歯1本1本への負担は軽減し、結果歯を残すことへと繋がります。
なるべく歯を削らないですむ治療法を選択することも重要です。その代表例が直接プラスチックをつめていく治療方法です。しかし症例によって選択できる場合、出来ない場合があります。

MI治療のメリットとして「御自分の歯をより多く残せる」点があげられます。
歯質をより多く残し、できる限り神経を取らない治療を心がけます。
結果、歯の寿命を延ばすことにつながっていきます。
大きく歯を削ってしまうと、それだけ歯は脆くなります。
また神経を取ってしまうと、さらに歯は弱くなります。
MI治療=できるだけ歯を削らない・神経を取らないことは、歯の寿命の延伸に大きく寄与します。

「なるべく歯を削らない治療」を行うには、「正確な診断」が必須です。
「削る必要のある虫歯なのか」それとも「経過観察してもよい虫歯なのか」を科学的に適切に診断することが、とても大切です。
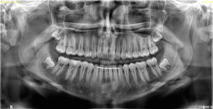
正確な診断を行うには、それをアシストする「適切な機器」も重要です。
当院には正確な診断を行うための機器が充実しています。


画像の鮮鋭度が大幅に向上した結果、従来のレントゲン装置に比べて、より鮮明に、よりはっきりと映し出します。
その結果、歯周病や虫歯の診断技術が大きく向上しました。

歯像処理性能が大幅にUPし、より正確な画像を再現できるようになりました。

従来のレントゲン装置では、金属のかぶせ物に放射線が反射する事により、画像が大きく乱れてしまっていました。
当院のレントゲン装置は、かぶせ物による放射線の反射(アーチファクト)を極限まで下げられる機能を有しています。

従来のレントゲン装置では撮影範囲が限られており、一部分しか撮影する事が出来ませんでした。
当院のレントゲン装置は、顎の骨全てを含む範囲までワンスキャンで撮影可能で、
また撮影範囲を選択する事も可能です。

「ダイアグノデント ペン」は、レーザー光で、虫歯の状態を検知する装置です。

虫歯を見つけにくい、歯と歯の間や、歯の中をも測定可能なため、目では見えない場所も検知する事が可能です。

歯面から約2mmの深度までレーザー光が到達し、虫歯に含まれる代謝産物(ポルフィリン)である蛍光反射を読み取り、外からは分からない虫歯を検知します。

レーザー光によって測定された値は、数値化され、虫歯の進行状態をわかりやすく判断できます。

655nmという低出力のレーザー光を照射するだけなので、痛みもなく、小さなお子様や妊婦の方にも安心してご使用いただけます。
また、歯を傷つけることもありません。

従来の目視検査やレントゲン検査では、初期の虫歯や、内部の虫歯を見つけることは難しかったですが、ダイアグノデントペンは歯の内部のミネラルの変化を捉え、初期の虫歯を数値化して表示することが出来ます。
その結果、虫歯を早期発見でき、最小限の治療で済む可能性が高まり、歯の健康を守ることができます。

数値によっては、歯を削らず、経過を見ることが可能です。
その結果、大切な歯質を削合する事を回避できます。

80万画素の高画質を実現。65gと軽量で、オートフォーカス採用の口腔内カメラです。
マクロから歯列弓まで撮影が可能で、照明システムは6個のLEDを搭載、均一に照明が当たるよう自動調整されます。
人間の目では分かりずらい部分も、カメラ撮影をすることで拡大し可視化され、虫歯のさらなる発見に貢献します。
また撮影した画像は、画面上にすぐに表示できるので、患者様に口腔内の現在の状態を即座にお見せする事が出来、治療の進行具合や治療結果を画像にて確認する事が可能です。
PageTop